
[症例1]00代・男性
Allーon-4手術直後
>> 写真1

手術後6ヶ月後に
プロビジョナル作製
>> 写真2

プロセラ(CAD/CAM)にて
メタル支台試適
>> 写真3

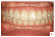
完成
>> 写真4

口元(All-on-4治療前の状況と
比べる意味で)審美性も高い
>> 写真5

術後のエックス線写真
>> 写真6

術後の口腔内ネジにて固定
>> 写真7
このあとは定期的なメインテナンス
が必要となります。
[ 術前・術後でこんなに変わります! ]

[症例1]00代・男性
Allーon-4手術直後
>> 写真1

手術後6ヶ月後に
プロビジョナル作製
>> 写真2

プロセラ(CAD/CAM)にて
メタル支台試適
>> 写真3

完成
>> 写真4

口元(All-on-4治療前の状況と
比べる意味で)審美性も高い
>> 写真5

術後のエックス線写真
>> 写真6

術後の口腔内ネジにて固定
>> 写真7
このあとは定期的なメインテナンス
が必要となります。
[ 術前・術後でこんなに変わります! ]