【症例1 レジン前装冠】

技工室で補綴物を製作し、診療室でむし歯の治療を終えた患者さんです。
>> 写真1から写真2へ
レジン前装冠は、裏側が金属です。
>> 写真3
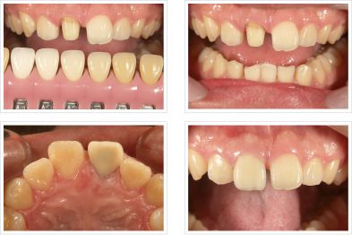
【症例2 レジン前装冠】

保険治療の範囲内でも複雑な色調でない限り、周囲と調和した歯をセットすることができます。
補綴物(ほてつぶつ) とは?
歯が失われたところに対して作る、銀歯や差し歯、義歯などを総称した
呼び方です
【症例3 ハイブリットクラウン】※現在、施術していません。

ハイブリッドクラウンは、歯の裏側も白い素材でできています。
【症例4 ハイブリットクラウン】※現在、施術していません。

ホワイトニングで白くなった歯は、しばらくすると色が戻る場合があるのですが、色が安定する前にシェードテイキングしてしまったため、白く作りすぎてしまった症例です。修正するお時間をいただき、当日セットを迎えることができました。
【症例5 ハイブリットクラウン】※現在、施術していません。

