【症例6 ハイブリッドブリッジ】

【症例7 メタルボンドクラウン】

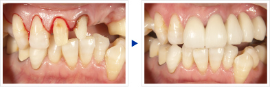
歯茎の腫れやすい患者さんで、型取りができない状況が続いていました。しかし衛生士さんの指導の下、患者さんの頑張りが実を結び、半年後、歯茎がとても綺麗になり、無事セットを迎えることができました。
>> 写真1
【症例8 メタルボンドブリッジ】

試適時は全体的に色が不透明で、周囲の歯に馴染んでいませんでした。一度で患者さんの歯の色に合わせられるよう頑張ります!
>> 写真1
見比べると周囲の歯に馴染んでいるのがわかります。
>> 写真2
